Home X-Rays Cleaning Exam Brushing chart Links for Parents
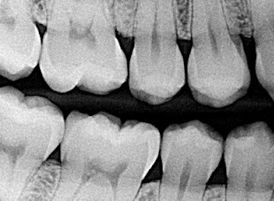
bitewing x-ray photograph X-Rays
Panoramic x-ray
maxillary occlusal photo



(Click play above to have it read to you.)
What are Dental X-Rays?  
Dental x-rays are special pictures taken of the insides of the teeth so that the dentist and hygienist may see if the person has cavities between the teeth. It is very important to get these pictures taken regularly because the dentist cannot see the sides of the teeth that touch. If a cavity is between the teeth and an x-ray picture is not taken, the dentist will not know if the cavity is there and cannot treat the cavity and stop it from growing larger. If the cavity is left to grow, it can become very painful.


(Click play above to have it read to you.)
What Equipment is Used to Take an X-Ray?

Click on the slide show to see the
equipment needed to take an x-ray. 
Have your mom or dad read the slide show with you.



(Click play above to have it read to you.)
What is the Dentist Looking For?
Click on the slide show to see what the dentist is looking for.>Have your mom or dad read the slide show with you.



(Click play above to have it read to you.)
Test Your Knowledge
Click on the slide show to test your skill at finding cavities
. Have your mom or dad take the test with you to see how well they can do.




(Click play above to have it read to you.)
Where should you go next?
During the preventive visit, the cleaning is usually next.